Le perdite aeree persistenti per lesioni del parenchima polmonare rappresentano una condizione clinica associata ad una prolungata degenza ospedaliera ed
un aumento delle complicanze.
Il trattamento chirurgico rappresenta la strategia di scelta ma nella maggior parte dei casi i pazienti, soprattutto se sottoposti a ventilaziine meccanica, non sono candidabili alla chirurgia in quanto presentano severe comorbidita’.
Le valvoline endobronchiali sono dei particolari device che sono utilizzate per il trattamento dell’enfisema polmonare o delle perdite aeree polmonari persistenti.
La UOC di chirurgia toracica del Policlinico Vanvitelli è un centro di riferimento per il trattamento delle patologie respiratorie con valvole endobronchiali unidirezionali.
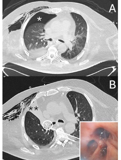
Un recente lavoro del nostro gruppo pubblicato sulla rivista internazionale Thoracic Cancer riporta l’utilizzo delle valvole endobronchiali, per la prima volta, in una serie consecutiva di pazienti sottoposti a ventilazione meccanica e con perfite aeree polmonari persistenti. In tutti i casi trattati io posizionamento delle valvole endobronchiali ha permesso la risoluzione delle perdite aeree e la rimozione del drenaggio toracico.
http://dx.doi.org/10.1111/1759-7714.70127


