
La toracoscopia nel trattamento del cancro del polmone
Tecnica di tunnelizzazione della scissura in corso di lobectomia robotica
🫁La sezione delle scissure in corso di interventi di lobectomia robotica può risultare difficile quando la scissura non è completa . Tale situazione è particolarmente frequente nei pazienti enfisematosi o con pregresse polmoniti. ⚠️Una non corretta sezione della scissura prolunga i tempi operatori, aumenta il rischio di sanguinamento e di perdite aeree nel decorso postoperatorio. …
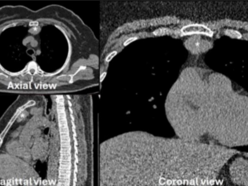
Biopsia robotica dei tumori del mediastino anteriore
Il Mediastino è una complessa struttura anatomica per la presenza di grossi vasi quali l’arteria polmonare ed il cuore. I tumori del mediastino anteriore ancora oggi sono un dilemma diagnostico e spesso occorre eseguire una biopsia chirurgica per fornire al patologo materiale sufficiente per la diagnosi Quando i tumori infiltrano i grossi vasi, eseguire una…
La chirurgia toracica del policlinico universitario Vanvitelli continua il suo percorso itinerante
🗓️Giovedì scorso presso l’ospedale di Benevento e’ stato eseguito un intervento di chirurgia toracica dal Prof. Fiorelli coadiuvato dalla dr.ssa Capasso e dal dr. Di Filippo 🤖Con tecnica robotica e’ stato asportato un segmento polmonare sede di metastasi da cancro della mammella 🎯La paziente è stata dimessa in quarta giornata 🎙️Il percorso dell’intervento di chirurgia…
Il trattamento chirurgico del cancro del polmone con metastasi dei linfonodi ilari
Il cancro del polmone con metastasi dei linfonodi ilari rappresenta ancora uno stadio trattabile chirurgicamente. 😷L’intervento chirurgico consiste nell’asportazione del tumore e dei linfonodi alfine di ottenere la radicalita’ oncologica. I linfonodi sono adesi ai vasi e la loro asportazione può causare una lesione vascolare. 🤖La chirurgia robotica grazie alla visione tridimensionale ed ai movimenti…
Chirurgia robotica per il trattamento dei neurinomi toracici
I neurinomi (o schwannomi) toracici a clessidra sono tumori benigni a lenta crescita che originano dalla guaina dei nervi spinali. La loro caratteristica “a clessidra” deriva dalla particolare forma che assumono, estendendosi a cavaliere del forame di coniugazione (il passaggio tra il canale spinale e la gabbia toracica), posizionandosi in parte dentro il canale spinale…
Riparazione della pleura mediastinica con patch di collagene in corso di timectomia robotica
La timectomia robotica con asportazione del grasso mediastinico omolaterale rappresenta l’intervento di scelta per il trattamento del timoma nei pazienti non miastenici. In corso di intervento la pleura mediastinica può essere lesa, l’aria passa nell’emitorace controlaterale con possibile pneumotorace. La riparazione con punti di sutura della pleura può essere difficoltosa essendo la pleura molto sottile. …
La chirurgia toracica itinerante
Il progetto di chirurgia toracica itinerante consiste nella esecuzione di interventi di chirurgia toracica nelle strutture ospedaliere della regione Campania che sono sprovviste di tale specialità. Il vantaggio è indubbio per il paziente ed i suoi familiari che possono ricevere un trattamento di alta specializzazione in un ospedale a loro familiare e vicino la propria…
Trattamento endoscopico delle lesioni tracheali post intubazione
Le lesioni tracheali post-intubazione rappresentano una complicanza che si verifica nei pazienti con vie aerea difficile. Il mandrino del tubo orotracheale va a ledere la pars membranacea della trachea. All’estubazione il paziente lamenta emottisi, dolore, dispnea ed enfisema sottocutaneo e/o mediastinico. La presenza di tali sintomi deve porre il sospetto clinico di una lesione tracheale…
Lobectomia robotica fissure last technique
L’età anagrafica non corrisponde all’età biologica e “di per sé” non è una controindicazione ad interventi di chirurgia toracica maggiore quali la lobectomia per il trattamento del cancro del polmone. La chirurgia mini-invasiva ed, in particolare la tecnica robotica, è particolarmente indicata nel trattamento del cancro polmone nei pazienti ultraottantenni. Il minore trauma chirurgico, la…
Cisti pericardiche: resezione robotica
La cisti pericardica è una rara anomalia congenita del pericardio, la membrana che riveste il cuore. Consiste in una lesione a contenuto liquido e nella maggior parte dei casi è asintomatica. La diagnosi è incidentale con una radiografia e/o TAC del torace eseguita per altri fini. Quando raggiunge dimensioni notevoli, può esercitare un effetto compressivo…
Si è verificato un problema. Aggiorna la pagina e/o riprova in seguito.
Segui il mio blog
Ottieni i nuovi contenuti, spediti direttamente nella tua casella di posta.